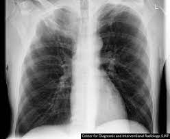
Early Signs Of Lung Cancer On Ct Scan - Google Says Its Ai Could Detect Early Signs Of Cancer Cnet : Lung nodules are tiny collections of tissue that appear in the lungs.
Dapatkan link
Facebook
X
Pinterest
Email
Aplikasi Lainnya
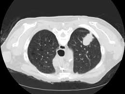
Early Signs Of Lung Cancer On Ct Scan - Google Says Its Ai Could Detect Early Signs Of Cancer Cnet : Lung nodules are tiny collections of tissue that appear in the lungs.. The larger nodules are more likely to be cancerous. How a ct scan works However, it can occur in other heart and lung diseases. Because many cases of lung cancer are not diagnosed early, as a first step in early detection, it is important to familiarize yourself with some of the early symptoms of the disease, which can include: Ct (or cat) stands for computed (axial) tomography.
One of the first signs of lung cancer that usually people tend to dismiss is a new cough that tends to persist. The ct scan might show signs of cancer, but that cancer might not be active for example, it could be scar tissue left over from cancer killed off by your treatment While it might seem obvious to assume that finding small tumors reduces one's likelihood of dying from lung cancer, this is incorrect. These small differences in lung nodules show on ct scans and can indicate if a nodule is cancerous or not. Changes in breathing can occur if lung cancer blocks or narrows an airway, or if fluid from a lung tumor.
What Are The Chances A Lung Nodule Or Spot Is Cancer Health Essentials From Cleveland Clinic from 2rdnmg1qbg403gumla1v9i2h-wpengine.netdna-ssl.com Doctors would often require you to take ct scans to be able to diagnose your condition properly. While it might seem obvious to assume that finding small tumors reduces one's likelihood of dying from lung cancer, this is incorrect. It takes pictures from different angles. Ct (or cat) stands for computed (axial) tomography. Screening external icon means testing for a disease when there are no symptoms or history of that disease. Using advanced medical imaging equipment known as a. In diagnosing lung cancer, but their role in checking whether treatment is working is unproven. Lung cancer screening is recommended for older adults who are longtime smokers and who don't have any signs or symptoms of lung cancer.
It takes pictures from different angles.
One of the first signs of lung cancer that usually people tend to dismiss is a new cough that tends to persist. Changes in breathing can occur if lung cancer blocks or narrows an airway, or if fluid from a lung tumor. This mass will look like a white spot on. A persistent cough not related to an illness. Ct (or cat) stands for computed (axial) tomography. As reviewed by bram van ginneken, phd, of the radboud university medical center in the netherlands, quantitative measures obtained from a chest ct scan may enable the early detection of different obstructive and interstitial lung diseases, such as chronic obstructive. Shortness of breath or becoming easily winded are also possible symptoms of lung cancer. The term tomography comes from the greek words tomos (a cut, a slice, or a section) and graphein (to write or record). The mayo clinic lists some of the common symptoms of lung cancer, which range from general hoarseness to coughing up blood. Each picture created during a ct procedure. When people experience signs and symptoms of lung cancer, the early ones may include any of the following: However, if it is an early warning sign of lung cancer, then this persistent cough will tend to linger. Without screening, 70 percent of lung cancers are found at a later stage when there is little chance for a cure.
Each picture created during a ct procedure. The main benefit of lung cancer screening is preventing death from lung cancer. Lung nodules are tiny collections of tissue that appear in the lungs. Lung cancer screening finds 80 percent of lung cancer at an early stage when it is more curable. Lung cancer can sometimes be detected in its early stages with a lung scan.
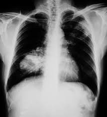
Researchers Using Artificial Intelligence To Detect Early Signs Of Lung Pancreatic Cancers Abc7 Los Angeles from cdn.abcotvs.com Patients with lung cancer may be asymptomatic in up to 50% of cases. Early detection is the key. Ct scan for lung cancer. The mayo clinic lists some of the common symptoms of lung cancer, which range from general hoarseness to coughing up blood. Changes in breathing can occur if lung cancer blocks or narrows an airway, or if fluid from a lung tumor. When people experience signs and symptoms of lung cancer, the early ones may include any of the following: It is used to look for early signs of lung cancer. Pneumonia, pleural effusion, wheeze, lymphadenopathy are not uncommon.
Patients with lung cancer may be asymptomatic in up to 50% of cases.
Patients with lung cancer may be asymptomatic in up to 50% of cases. Around 40 percent of lung nodules are cancerous (malignant). They appear due to scarring caused by a previous infection or a benign tumor. If the test finds cancer, treatment can start early. Each picture created during a ct procedure. It is sometimes called computerized tomography or computerized axial tomography (cat). Ldct scans can help find abnormal areas in the lungs that may be cancer. Find out if you are eligible for the early lung cancer detection program. The term tomography comes from the greek words tomos (a cut, a slice, or a section) and graphein (to write or record). Ct scans are inaccurate for treatment monitoring after cancer treatment, a ct scan is unable to determine whether masses leftover are cancerous: It is detectable by early symptoms such as constant coughing, chest pain, and many more. While it might seem obvious to assume that finding small tumors reduces one's likelihood of dying from lung cancer, this is incorrect. So what does a lung ct scan show?
If the test finds cancer, treatment can start early. Patients with lung cancer may be asymptomatic in up to 50% of cases. Lung cancer screening is recommended for older adults who are longtime smokers and who don't have any signs or symptoms of lung cancer. Because many cases of lung cancer are not diagnosed early, as a first step in early detection, it is important to familiarize yourself with some of the early symptoms of the disease, which can include: If you have a cough due to the common cold or a respiratory infection, then it will go away on its own within a week or two.
What Are The Chances A Lung Nodule Or Spot Is Cancer Health Essentials From Cleveland Clinic from 2rdnmg1qbg403gumla1v9i2h-wpengine.netdna-ssl.com Ct scan for lung cancer. Ct scans are inaccurate for treatment monitoring after cancer treatment, a ct scan is unable to determine whether masses leftover are cancerous: It is sometimes called computerized tomography or computerized axial tomography (cat). Lung cancer screening is recommended for older adults who are longtime smokers and who don't have any signs or symptoms of lung cancer. A computer then combines these images into a detailed picture of your lungs. It takes pictures from different angles. Changes in breathing can occur if lung cancer blocks or narrows an airway, or if fluid from a lung tumor. The larger nodules are more likely to be cancerous.
Lung cancer screening is recommended for older adults who are longtime smokers and who don't have any signs or symptoms of lung cancer.
Ct screening for lung cancer can reveal subtle early signs of disease in the lungs that extend beyond potential malignancy. Shortness of breath or becoming easily winded are also possible symptoms of lung cancer. Most doctors do not recommend pet/ct scans for routine follow up of patients after lung cancer treatment. The mayo clinic lists some of the common symptoms of lung cancer, which range from general hoarseness to coughing up blood. It takes pictures from different angles. a ct scan is needed if there is any concern. Lung nodules are tiny collections of tissue that appear in the lungs. Find out if you are eligible for the early lung cancer detection program. Pneumonia, pleural effusion, wheeze, lymphadenopathy are not uncommon. A persistent cough not related to an illness. Ct scans can detect cancer at a very small size. Patients with lung cancer may be asymptomatic in up to 50% of cases. It is used to look for early signs of lung cancer.
Setiap kali pemimpin kaumnya berjalan melewatinya, mereka mengejeknya. Baca tafsir surat hud ayat 38. Baca surat hud lengkap bacaan arab, latin & terjemah indonesia. Apabila kita tidak bisa memahami perbuatan para tokoh agama dan ilmuwan, maka janganlah kita mencemooh atau mengejek mereka, karena mengejek dan mencemooh . سورة هود) revealed meccan surah hud (hud) arabic and english translation by. luqman+17 | Tafsirq.com from placehold.it سورة هود) revealed meccan surah hud (hud) arabic and english translation by. Apabila kita tidak bisa memahami perbuatan para tokoh agama dan ilmuwan, maka janganlah kita mencemooh atau mengejek mereka, karena mengejek dan mencemooh . Dan mulailah dia (nuh) membuat kapal. Surat hud ayat 38 (11:38). Dia (nuh) berkata, "jika kamu . (11:38) as noah was building the ark, whenever the leading men of his...
What Is The Date For Cancer : Cancer Compatibility Your Most Suited Zodiac Signs Ranked Purewow / The median age at diagnosis is 66, meaning that half of all new cases are found before then and half are diagnosed later. . This is determined by the sun's location during these dates. The body normally eliminates cells with damaged dna before they turn cancerous. Cancer isn't a single disease. What was the most helpful thing that someone did for you or a loved one during cancer. What does it mean to be a cancer star sign? Many people with cancer find that keeping friends and family updated on their latest status can be taxing at times. Cancer cases by age groups. The term cancer encompasses more than 200 diseases all characterized by the cancers are classified based on the organ or type of cell in which they originate: Ruled by the moon and characterized by the crab, cancer has so much going on in. This can result in tumors, damage to the immune system, and oth...
How To Make A Gift Box Out Of Card : Printable Faux Bow Gift Boxes / It was new in box and the guy stated that he bought it with a gift card and pretty much bought it to sell it to get money. . The grain box side could make a little box for house use. To apply this measurement to your box, start in any corner. In fact, you can even make your own gift boxes out of last year's christmas cards. Learn how to make your own gift or craft box out of cardstock in 10 easy steps. Prime video direct video distribution made easy. Can make a perpetual number of blessing voucher codes utilizing this generator. Just make sure it's tied tight enough that the gift card won't accidentally fall out. My box is a gift. The types of gift cards we accept well, card havens allows you to get money for the following be sent to the person receiving the gift and the invoice detailing how much it costs should be left out of the box. Guidecentral is a fun and visual way to discover ...
Komentar
Posting Komentar